Phẫu thuật thành công khối ung thư khổng lồ vùng mặt cho cụ bà 99 tuổi tại Bệnh viện Ung bướu Thanh Hóa
Một ca phẫu thuật đặc biệt vừa được thực hiện thành công tại Khoa Ngoại Đầu Mặt Cổ - Bệnh viện Ung bướu Thanh Hóa. Các bác sĩ đã cắt bỏ hoàn toàn khối ung thư kích thước lớn vùng mặt cho cụ bà 99 tuổi - bệnh nhân cao tuổi nhất từng được phẫu thuật tại bệnh viện. Thành công của ca mổ thể hiện trình độ chuyên môn cao, tinh thần tận tâm và sự phối hợp nhịp nhàng của tập thể y bác sĩ bệnh viện.
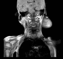
Cụ bà L.T.C nhập viện trong tình trạng có khối u lớn vùng mặt bên trái, gây đau, biến dạng khuôn mặt và ảnh hưởng nhiều đến sinh hoạt trong suốt nhiều năm. Kết quả sinh thiết xác định đây là ung thư biểu mô tế bào đáy dạng tuyến nang (adenoid type) - một thể hiếm gặp của ung thư da.
Hình ảnh bệnh nhân trước phẫu thuật
Bệnh nhân tuổi cao, kèm nhiều bệnh lý nền nên việc phẫu thuật và gây mê hồi sức tiềm ẩn nhiều nguy cơ. Trước nguyện vọng điều trị của người bệnh và gia đình, các bác sĩ Khoa Ngoại Đầu Mặt Cổ đã tiến hành đánh giá kỹ lưỡng tình trạng toàn thân, khả năng phẫu thuật và báo cáo Hội đồng phẫu thuật bệnh viện hội chẩn toàn viện. Những bác sĩ có kinh nghiệm nhất trong lĩnh vực phẫu thuật và gây mê hồi sức đã được phân công thực hiện ca mổ đặc biệt này.
Hình ảnh khối u trên phim cộng hưởng từ
TS.BSCKII Nguyễn Quang Hưng - PGĐ, Trưởng khoa Ngoại Đầu Mặt Cổ là người trực tiếp mổ chính ca bệnh. Ca phẫu thuật diễn ra trong sự cẩn trọng từng thao tác và đã hoàn thành thuận lợi. Khối u được cắt bỏ rộng rãi, đồng thời bảo tồn các cấu trúc quan trọng như dây thần kinh mặt và ống tuyến mang tai, đảm bảo chức năng cũng như tính thẩm mỹ cho người bệnh.
Sau phẫu thuật, công tác chăm sóc hậu phẫu được thực hiện chu đáo với sự phối hợp chặt chẽ giữa nhân viên y tế và gia đình. Chỉ vài ngày sau mổ, cụ bà đã có thể ăn uống, trò chuyện với người thân. Dù tuổi cao nhưng cụ vẫn rất minh mẫn và lạc quan, xúc động chia sẻ: "Cảm ơn các bác sĩ, hơn chục năm rồi mới thấy lại cái mặt ni."
Hình ảnh bệnh nhân sau phẫu thuật
Ung thư biểu mô tế bào đáy là loại ung thư da phổ biến nhất, phát triển chậm, bắt nguồn từ các tế bào đáy ở lớp ngoài cùng của da. Bệnh thường gặp ở người lớn tuổi, đặc biệt tại các vùng da hở tiếp xúc nhiều với ánh nắng mặt trời như mũi, má, thái dương. Mặc dù hiếm khi di căn, bệnh có thể xâm lấn tại chỗ nếu không được điều trị kịp thời, gây phá hủy mô và biến dạng khuôn mặt.
Điều trị chủ yếu của ung thư biểu mô tế bào đáy là phẫu thuật, với yêu cầu diện cắt sạch u, đồng thời bảo tồn chức năng và đảm bảo thẩm mỹ. Do đó, người bệnh cần được điều trị tại các cơ sở chuyên khoa có kinh nghiệm trong phẫu thuật vùng đầu cổ.
Ca phẫu thuật thành công cho cụ bà 99 tuổi là minh chứng rõ ràng cho năng lực chuyên môn, sự tận tâm và tinh thần trách nhiệm của đội ngũ bác sĩ Bệnh viện Ung bướu Thanh Hóa. Khoa Ngoại Đầu Mặt Cổ là đơn vị chuyên sâu trong phẫu thuật các khối u vùng đầu, mặt và cổ, thường xuyên tiếp nhận và điều trị thành công nhiều ca bệnh phức tạp, đem lại niềm tin và chất lượng sống tốt hơn cho người bệnh.
Khoa Ngoại Đầu Mặt Cổ
- Nút mạch chọn lọc điều trị u máu gan dưới hướng dẫn chụp mạch số hóa xóa nền (DSA) tại Bệnh viện Ung bướu tỉnh Thanh Hóa
- “Bilan viêm” và vai trò của xét nghiệm Procalcitonin (pct) trong chẩn đoán nhiễm trùng sớm
- Một số khái niệm dược động học, dược lực học kháng sinh và ứng dụng trong thực hành điều trị nhiễm khuẩn
- Dinh dưỡng cho bệnh nhân ung thư giai đoạn muộn
- Ung thư và đái tháo đường: Gánh nặng kép nhưng hoàn toàn có thể kiểm soát
- Phân tích tình hình sử dụng và tác dụng không mong muốn của Vinorelbine trong hoá trị liệu cho bệnh nhân ung thư tại Bệnh viện Ung bướu tỉnh Thanh Hoá năm 2024
- Bệnh nhân ung thư tuyến giáp nên ăn gì?
- Phẫu thuật thành công khối ung thư khổng lồ vùng mặt cho cụ bà 99 tuổi tại Bệnh viện Ung bướu Thanh Hóa
- Xét nghiệm nuôi cấy – kháng sinh đồ xác định độ nhạy cảm của vi khuẩn/ vi nấm với thuốc
- Dự phòng thuyên tắc huyết khối tĩnh mạch ở bệnh nhân điều trị nội khoa ung thư
Tin tức mới nhất
Các ngày trong tuần từ Thứ 2 đến Chủ nhật
Mùa đông: 7:15 - 11:30 | 13:15 - 17:00
Mùa hè: 7:00 - 11:30 | 13:30 - 17:00
Trực cấp cứu: 24/24
