Kỹ thuật chọc hút và tiêm cồn qua da dưới hướng dẫn siêu âm - Giải pháp nhanh, an toàn điều trị nang tuyến giáp lành tính tại Bệnh viện Ung bướu tỉnh Thanh Hóa
Bạn cảm thấy cổ sưng, nuốt vướng, hoặc mất tự tin khi giao tiếp? Đây có thể là dấu hiệu của nang tuyến giáp – bệnh lý khá phổ biến, đặc biệt ở nữ giới. Nếu nang gây khó chịu hoặc ảnh hưởng thẩm mỹ, hiện nay đã có giải pháp hiệu quả mà không cần phẫu thuật: Chọc hút tiêm và cồn qua da dưới hướng dẫn siêu âm (PEI - Percutaneous Ethanol Injection).
Nang tuyến giáp là túi chứa dịch nằm trong tuyến giáp, đa số lành tính. Có hai loại nang: nang hỗn hợp (phần dịch chiếm 50-90% thể tích) và nang đơn thuần (phần dịch >90%)1.
Nang nhỏ (<2 cm) và không triệu chứng thường không cần điều trị, tuy nhiên khi có biến chứng như chảy máu trong nang làm cho nang tăng nhanh kích thước, đau tại chỗ, nuốt nghẹn hoặc bệnh nhân lo lắng nhiều thì nên xem xét điều trị.
PEI - Chọc hút và tiêm cồn dưới hướng dẫn siêu âm
PEI là kỹ thuật được giới thiệu lần đầu năm 1990, hiện đang được áp dụng tại nhiều bệnh viện, trong đó có Bệnh viện Ung Bướu Thanh Hóa từ khi mới thành lập. Thủ thuật được thực hiện trên bệnh nhân ngoại trú, nhanh chóng, không cần gây mê, không để lại sẹo và bệnh nhân có thể ra về ngay.
PEI là phương pháp điều trị can thiệp tối thiểu, bằng việc sử dụng cồn tuyệt đối đưa vào trong tổn thương dạng nang với cơ chế cồn tuyệt đối làm hoại tử do đông máu và huyết khối tĩnh mạch nhỏ, gây mất nước tế bào và đông vón protein dẫn đến hoại tử tế bào. Hậu quả tiêu diệt tế bào chế tiết dịch và xơ hóa mô tiếp xúc ethanol, thay thế vào đó là mô hạt, xơ hóa và khiến cho tổn thương co rút lại2,3.
PEI là một lựa chọn điều trị an toàn và hiệu quả ở những bệnh nhân nang lớn, lành tính, có triệu chứng. Trong thời đại của các phương pháp điều trị xâm lấn tối thiểu, hiệu quả cao thì PEI để điều trị các bệnh nang giáp lành tính là một lựa chọn tối ưu.
Ưu điểm của PEI
- Không cần phẫu thuật, không để lại sẹo
- Thời gian thực hiện nhanh, bệnh nhân ra viện trong ngày
- Chi phí thấp
- An toàn, biến chứng thấp
Chỉ định1
- Nang tuyến giáp lành tính đã được xác định qua siêu âm và 2 lần chọc hút tế bào (FNA)
- Nang >2 cm hoặc gây khó chịu, mất thẩm mỹ
Chống chỉ định1
- Viêm nhiễm tại chỗ
- Bệnh toàn thân nặng
- Rối loạn đông máu chưa kiểm soát
Biến chứng:
PEI Là phương pháp can thiệp tối thiểu nên có tai biến, biến chứng rất thấp và khá nhẹ nhàng, một số có thể kể đến như: Đau vùng cổ sau điều trị, nang vẫn to ngay sau điều trị do chảy máu trong nang, khàn tiếng tạm thời4.
* Dưới đây là trường hợp bệnh nhân được điều trị nang tuyến giáp bằng phương pháp chọc hút và tiêm cồn:
(Ảnh: Bệnh nhân trước khi điều trị)
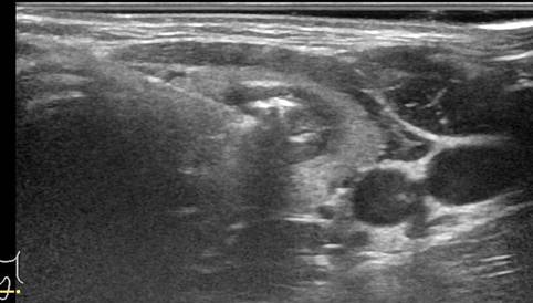
(Ảnh: Siêu âm nang giáp chảy máu thùy giáp trái kích thước lớn)
Nang giáp có biến chứng chảy máu trong nang thường làm cho nang giáp tăng kích thước nhanh chóng kèm cảm giác đau, khó chịu nhiều ở vùng cổ. PEI là phương pháp đơn giản, hữu hiệu được lựa chọn cho bệnh nhân này.
(Ảnh: siêu âm bệnh nhân sau khi tiêm cồn điều trị nang giáp trái
(Ảnh: Bệnh nhân sau khi tiêm cồn điều trị nang giáp trái)
Sau khi điều trị, khối sưng vùng cổ của bệnh nhân gần như không còn nhìn thấy, không để lại sẹo, bệnh nhân có thể ra về luôn, bệnh nhân được hẹn tái khám, theo dõi tổn thương sau một tháng, hầu hết đối với các nang giáp chảy máu sẽ rất hiệu quả khi làm PEI.
(Ảnh: So sánh trước và sau khi điều trị bằng phương pháp PEI)
Phương pháp Chọc hút tiêm cồn ( PEI) dưới hướng dẫn siêu âm điều trị nang giáp lành tính được thực hiện thường quy tại khoa Chẩn đoán hình ảnh - Thăm dò chức năng, Bệnh viện Ung bướu Thanh Hoá là phương pháp can thiệp tối thiểu, giúp bệnh nhân có thể tránh được cuộc phẫu thuật; sau điều trị bệnh nhân ổn định có thể về ngay. Đồng thời với chi phí rẻ, nằm trong danh mục bảo hiểm chi trả và được thực hiện bởi các bác sĩ có trình độ chuyên môn cao. Phương pháp chọc hút tiêm cồn tuyệt đối trong điều trị nang tuyến giáp tại Bệnh viện Ung bướu Thanh Hoá đã đem lại hiệu quả điều trị tối đa cho người bệnh.
Mọi chi tiết liên hệ:
ĐT: 0237 3950 866 hoặc 0237 8888 835
Facebook: Chẩn đoán hình ảnh Ung bướu Thanh Hóa
Email: chandoanhinhanhubth@gmail.com
Khoa Chẩn đoán hình ảnh và thăm dò chức năng
Tài liệu tham khảo
1. 1. Hướng dẫn quy trình kỹ thuật chẩn đoán hình ảnh và điện quang can thiệp Bộ Y ế
2. 2. Perez CLS, Fighera TM, Misaki F, Junior COM, Filho GJP, Graf H, et al. Evalution of percutaneous ethanol injection in benign thyroid nodules. Arq Bras Endocrinol Metab. (2014)
3. 3. Basu N, Dutta D, Maisnam I, Basu S, Ghosh S, Chowdhury S, et al. Percutaneous ethanol ablation in managing predominantly cystic thyroid nodules: an eastern India perspective. Indian J Endocrinol Metab (2014)
4. 4. Clark RDE, Luo X, Issa PP, Tufano RP, Kandil E. A clinical practice review of percutaneous ethanol injection for thyroid nodules: state of the art for benign, cystic lesions. Gland Surg. 2024
- Hành trình giảm đau – Nâng niu từng nhịp sống của người bệnh ung thư
- Nút mạch chọn lọc điều trị u máu gan dưới hướng dẫn chụp mạch số hóa xóa nền (DSA) tại Bệnh viện Ung bướu tỉnh Thanh Hóa
- “Bilan viêm” và vai trò của xét nghiệm Procalcitonin (pct) trong chẩn đoán nhiễm trùng sớm
- Một số khái niệm dược động học, dược lực học kháng sinh và ứng dụng trong thực hành điều trị nhiễm khuẩn
- Dinh dưỡng cho bệnh nhân ung thư giai đoạn muộn
- Ung thư và đái tháo đường: Gánh nặng kép nhưng hoàn toàn có thể kiểm soát
- Phân tích tình hình sử dụng và tác dụng không mong muốn của Vinorelbine trong hoá trị liệu cho bệnh nhân ung thư tại Bệnh viện Ung bướu tỉnh Thanh Hoá năm 2024
- Bệnh nhân ung thư tuyến giáp nên ăn gì?
- Phẫu thuật thành công khối ung thư khổng lồ vùng mặt cho cụ bà 99 tuổi tại Bệnh viện Ung bướu Thanh Hóa
- Xét nghiệm nuôi cấy – kháng sinh đồ xác định độ nhạy cảm của vi khuẩn/ vi nấm với thuốc
Tin tức mới nhất
Các ngày trong tuần từ Thứ 2 đến Chủ nhật
Mùa đông: 7:15 - 11:30 | 13:15 - 17:00
Mùa hè: 7:00 - 11:30 | 13:30 - 17:00
Trực cấp cứu: 24/24
