Nút mạch điều trị u xơ tử cung– Giải pháp điều trị xâm lấn tối thiểu bảo tồn tử cung
I. Mở đầu
1. U xơ tử cung là gì?
U xơ tử cung (uterine fibroids hay leiomyoma) là khối u lành tính xuất phát từ tế bào cơ trơn của lớp cơ tử cung. Các khối u này có thể đơn độc hoặc nhiều nhân, kích thước từ vài milimet tới hàng chục centimet, vị trí dưới thanh mạc, trong cơ hoặc dưới niêm mạc buồng tử cung. U xơ chịu ảnh hưởng rõ rệt của nội tiết tố nữ, thường to lên trong tuổi sinh sản và có xu hướng nhỏ dần sau mãn kinh 1.
Hình 1. Giải phẫu tử cung và các vị trí u xơ |
2. Dịch tễ học
U xơ tử cung là một trong những bệnh lý phụ khoa thường gặp nhất ở phụ nữ. Các nghiên cứu cho thấy khoảng 20-40% phụ nữ trong độ tuổi sinh sản có u xơ tử cung, tỷ lệ tăng dần theo tuổi. Ở một số quần thể, tới 70-80% phụ nữ có thể xuất hiện u xơ trên siêu âm khi đến 50 tuổi, dù nhiều trường hợp không có triệu chứng. Các yếu tố nguy cơ chính gồm tiền sử gia đình, béo phì, dậy thì sớm, chủng tộc và phơi nhiễm estrogen kéo dài 2,3.
3. Tác động đến sức khỏe phụ nữ
Dù là khối u lành tính, u xơ tử cung có thể ảnh hưởng mạnh đến chất lượng sống:
- Rong kinh, cường kinh kéo dài gây thiếu máu, mệt mỏi, giảm khả năng lao động.
- Đau, tức nặng vùng hạ vị, đau khi giao hợp, đau lưng dưới.
- Chèn ép bàng quang, trực tràng gây tiểu nhiều lần, táo bón, cảm giác đầy bụng khó chịu.
- Biến dạng buồng tử cung, sảy thai liên tiếp, sinh non hoặc vô sinh không rõ nguyên nhân.
U xơ tử cung cũng là một trong những lý do phổ biến khiến phụ nữ phải phẫu thuật bóc u xơ hoặc cắt tử cung, kéo theo nguy cơ biến chứng phẫu thuật và ảnh hưởng tâm lý đáng kể 1,3.
II. Nội dung
1. Triệu chứng lâm sàng
Triệu chứng phụ thuộc kích thước, số lượng và vị trí nhân xơ:
- Rong kinh, cường kinh: Kinh kéo dài >7 ngày hoặc lượng máu nhiều phải thay băng liên tục, có thể đi kèm cục máu đông.
- Đau, nặng bụng dưới: Cảm giác căng tức vùng chậu, đau âm ỉ, đôi khi đau cấp nếu u thoái hóa hoặc xoắn.
- Triệu chứng chèn ép: Tiểu nhiều, tiểu gấp, khó tiểu; táo bón, cảm giác đi tiêu không hết; bụng to dần giống có thai.
- Ảnh hưởng sinh sản: Chậm có thai, sảy thai, sinh non, ngôi bất thường, băng huyết sau sinh.
Một tỷ lệ không nhỏ phụ nữ không có triệu chứng, chỉ phát hiện tình cờ khi khám phụ khoa hoặc siêu âm bụng.
2. Các phương pháp điều trị u xơ tử cung hiện nay
Lựa chọn điều trị phụ thuộc tuổi, số con, kích thước - vị trí u, triệu chứng và bệnh lý kèm theo.
- Theo dõi: Áp dụng khi u nhỏ, không triệu chứng, gần tuổi mãn kinh; bệnh nhân được hẹn khám và siêu âm định kỳ.
- Điều trị nội khoa: Thuốc nội tiết, thuốc giảm chảy máu kinh, thuốc đồng vận GnRH,... giúp giảm triệu chứng tạm thời nhưng u thường to trở lại khi ngừng thuốc.
- Phẫu thuật bóc u xơ: Loại bỏ khối u nhưng vẫn bảo tồn tử cung, có thể mổ mở, nội soi ổ bụng hoặc nội soi buồng tử cung; nguy cơ tái phát u xơ sau mổ khoảng 20-25% trong vài năm.
- Cắt tử cung: Điều trị triệt căn triệu chứng do u xơ nhưng làm mất hoàn toàn khả năng sinh sản; thời gian nằm viện và hồi phục kéo dài, tiềm ẩn biến chứng chảy máu, nhiễm trùng, tổn thương tiểu khung.
- Nút mạch tử cung (Uterine Artery Embolization - UAE): Phương pháp ít xâm lấn, bảo tồn tử cung, được các hướng dẫn ACOG và Society of Interventional Radiology đưa vào khuyến cáo như một lựa chọn điều trị chuẩn ở phụ nữ có triệu chứng nhưng không muốn phẫu thuật lớn 1,2...
3. Kỹ thuật nút mạch điều trị u xơ tử cung 2,5
3.1. Nguyên lý
Các nhân u xơ được nuôi chủ yếu bởi nhánh động mạch tử cung. UAE sử dụng vi ống thông đưa vật liệu tắc mạch (hạt vi cầu, PVA- kích thước thích hợp) vào động mạch tử cung hai bên để làm tắc các nhánh nuôi u, khiến khối u thiếu máu, hoại tử dần và teo nhỏ theo thời gian. Mô cơ tử cung lành xung quanh vẫn được nuôi bởi hệ thống tuần hoàn bàng hệ phong phú nên ít bị ảnh hưởng.
Hình 2. Sơ đồ động mạch tử cung và mạch máu nuôi các nhân u xơ tử cung |
3.2. Quy trình thực hiện cơ bản
- Bệnh nhân được tư vấn, khám phụ khoa, siêu âm, làm xét nghiệm cơ bản; có thể chụp cộng hưởng từ để đánh giá chi tiết số lượng - vị trí u nếu cần.
- Thủ thuật tiến hành trong phòng chụp mạch số hóa xóa nền (DSA), gây tê tại chỗ vùng bẹn.
- Bác sĩ can thiệp luồn ống thông từ động mạch đùi vào động mạch chậu trong, chọn lọc động mạch tử cung hai bên dưới hướng dẫn DSA.
- Qua vi ống thông, bơm từ từ vật liệu tắc mạch cho tới khi dòng chảy nuôi u xơ được chặn lại trên hình ảnh chụp mạch.
- Sau thủ thuật, bệnh nhân được băng ép vị trí chọc mạch, theo dõi mạch, huyết áp, đau, dùng thuốc giảm đau và kháng viêm. Phần lớn người bệnh có thể ra viện sau vài ngày 2.
Hình 3. Minh họa ống thông đưa hạt tắc mạch vào động mạch tử cung điều trị u xơ. |
3.3. Chỉ định
- U xơ tử cung có triệu chứng (rong kinh, đau, chèn ép) nhưng người bệnh muốn bảo tồn tử cung.
- U xơ nhiều nhân, kích thước lớn, nguy cơ phẫu thuật cao hoặc không thuận lợi cho bóc u xơ.
- Bệnh nhân có bệnh nội khoa kèm theo (tim mạch, béo phì, rối loạn đông máu,...) làm tăng nguy cơ phẫu thuật.
3.4. Chống chỉ định
- Nghi ngờ ác tính đường sinh dục.
- Nhiễm trùng tiểu khung đang hoạt động.
- Mong muốn có thai ngay trong thời gian rất gần, cần cân nhắc ưu tiên phẫu thuật bóc u xơ.
- Dị ứng nặng thuốc cản quang iod, suy thận nặng chưa được xử trí.
3.5. Ưu điểm của nút mạch đối với người bệnh
- Không cần mổ mở, chỉ chọc kim qua da, không để lại sẹo lớn ở bụng.
- Ít đau, chủ yếu đau âm ỉ vài ngày đầu, kiểm soát được bằng thuốc.
- Thời gian nằm viện ngắn, sớm trở lại sinh hoạt và công việc sau khoảng 3-7 ngày.
- Bảo tồn tử cung, giữ được hình thể cơ quan sinh dục, giảm sang chấn tâm lý so với cắt tử cung.
- Điều trị cùng lúc nhiều nhân xơ trong tử cung, không cần mở tử cung tìm từng khối u như phẫu thuật.
- Tỷ lệ cải thiện triệu chứng rong kinh, đau và chèn ép đạt khoảng 85-95%, giảm đáng kể thể tích u và tử cung trên siêu âm, cộng hưởng từ.
Hình 4: Minh họa động mạch tử cung và u xơ trước sau nút mạch chọn lọc |
3.6. Hạn chế và biến chứng có thể gặp
- Một số trường hợp vẫn cần can thiệp bổ sung (nút mạch lại hoặc phẫu thuật) nếu u không đáp ứng hoặc tái phát triệu chứng sau vài năm.
- Hội chứng sau nút mạch: sốt nhẹ, mệt, đau vùng hạ vị 2-5 ngày đầu, thường đáp ứng tốt với thuốc giảm đau, kháng viêm.
- Biến chứng hiếm: nhiễm trùng tử cung, hoại tử mô cần phẫu thuật cắt tử cung cứu vãn, ảnh hưởng dự trữ buồng trứng ở phụ nữ lớn tuổi; tỷ lệ rất thấp khi thủ thuật được tiến hành tại cơ sở có kinh nghiệm.
3.7. So sánh với phẫu thuật 2,5
Tiêu chí | Nút mạch tử cung | Bóc u xơ tử cung | Cắt tử cung |
Xâm lấn | Tối thiểu | Mổ mở/nội soi | Mổ lớn ổ bụng/âm đạo |
Bảo tồn tử cung | Có | Có | Không |
Thời gian hồi phục | 3-7 ngày | 2-4 tuần | 4-8 tuần |
Điều trị nhiều nhân xơ | Rất tốt | Hạn chế khi nhiều | Triệt để (kèm tử cung) |
Nguy cơ mất máu | Thấp | Vừa đến cao | Cao |
Thời gian nằm viện | 1-2 ngày | 3-5 ngày | 5-7 ngày |
Nhiều tổng quan hệ thống và khuyến cáo chuyên ngành khẳng định UAE là lựa chọn điều trị hiệu quả, an toàn, với tỷ lệ hài lòng của người bệnh cao, đặc biệt ở những phụ nữ muốn tránh phẫu thuật lớn.
4. Tiên lượng và biến chứng
- Tỷ lệ thành công kỹ thuật: trên 95% ca UAE đạt tắc mạch đầy đủ.
- Tỷ lệ cải thiện triệu chứng: 85-95% bệnh nhân giảm rõ rệt rong kinh, đau và chèn ép sau 36 tháng.
- Bảo tồn tử cung: phần lớn người bệnh vẫn giữ được tử cung lâu dài, chỉ một tỷ lệ nhỏ phải cắt tử cung do biến chứng hoặc không đáp ứng điều trị.
Biến chứng thường gặp là hội chứng sau nút mạch, tự giới hạn; biến chứng nặng như nhiễm trùng, thuyên tắc ngoài ý muốn rất hiếm khi thủ thuật được thực hiện tại cơ sở có đủ kinh nghiệm và phương tiện.
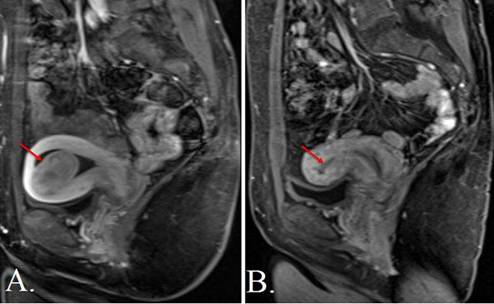
Hình 5. Hình ảnh MRI u xơ tử cung trước và sau nút mạch động mạch tử cung (UAE), vị trí khối u được đánh dấu bằng mũi tên đỏ. A. Trước can thiệp MRI cho thấy khối u xơ tử cung, tín hiệu điển hình của u xơ, trước khi thực hiện nút mạch động mạch tử cung. B. Sau can thiệp MRI sau điều trị cho thấy khối u giảm tưới máu / giảm bắt thuốc, gợi ý thiếu máu và hoại tử sau nút mạch. |
III. Kết luận và khuyến nghị
Kỹ thuật nút mạch tử cung điều trị u xơ là giải pháp ít xâm lấn, an toàn, bảo tồn tử cung và rút ngắn thời gian hồi phục, đã được ACOG, Society of Interventional Radiology và các hiệp hội điện quang can thiệp lớn trên thế giới đưa vào khuyến cáo thực hành lâm sàng. Đây là lựa chọn phù hợp cho phụ nữ có triệu chứng u xơ nhưng không muốn hoặc không thể phẫu thuật 1,2,5.
Phụ nữ có biểu hiện rong kinh kéo dài, đau hoặc tức nặng vùng chậu, tiểu nhiều lần, bụng to dần,... nên đi khám phụ khoa sớm để được siêu âm, chẩn đoán và tư vấn điều trị kịp thời. Khám phụ khoa định kỳ 1-2 lần mỗi năm giúp phát hiện sớm u xơ tử cung và các bệnh lý phụ khoa khác, từ đó lựa chọn được phương pháp điều trị ít xâm lấn, hiệu quả hơn 4.
IV. Thông tin kỹ thuật nút mạch điều trị u xơ tử cung tại bệnh viện
Tại Khoa Chẩn đoán hình ảnh - Thăm dò chức năng, kỹ thuật nút mạch chọn lọc điều trị u xơ tử cung dưới hướng dẫn máy DSA đã được triển khai thường quy bởi đội ngũ bác sĩ được đào tạo bài bản về can thiệp mạch. Đây là phương pháp can thiệp tối thiểu, không cần mổ mở, đồng thời được bảo hiểm y tế chi trả theo quy định hiện hành, giúp người bệnh giảm gánh nặng chi phí mà vẫn tiếp cận được kỹ thuật hiện đại.
Toàn bộ quá trình được thực hiện trên hệ thống chụp mạch số hóa xóa nền DSA thế hệ mới, cho phép quan sát rõ hệ thống mạch nuôi tử cung, từ đó bác sĩ luồn vi ống thông chính xác đến từng nhánh động mạch cần nút. Quy trình vô khuẩn nghiêm ngặt và hệ thống theo dõi tại chỗ - hồi sức sau can thiệp đảm bảo an toàn cho người bệnh trong và sau thủ thuật.
|
Hình 6. Ekip can thiệp thực hiện nút mạch tử cung dưới hướng dẫn máy chụp mạch số hóa xóa nền DSA. |
Kỹ thuật nút mạch điều trị u xơ tử cung tại bệnh viện đã đem lại hiệu quả rõ rệt trong kiểm soát rong kinh, giảm đau và thu nhỏ khối u cho nhiều người bệnh, giúp họ nhanh chóng trở lại sinh hoạt bình thường, vẫn bảo tồn được tử cung và chức năng sinh lý. Kết quả bước đầu tại Bệnh viện Ung bướu Thanh Hóa ghi nhận tính khả thi và an toàn của nút động mạch tử cung trong bệnh lý sản phụ khoa.
Mọi chi tiết liên hệ:
Bệnh viện Ung bướu tỉnh Thanh Hóa
Điện thoại: 02373 950 866
Địa chỉ: Ngõ 958 Quang Trung, Phường Hạc Thành, Tỉnh Thanh Hóa
1. ACOG Practice Bulletin. Management of Uterine Leiomyomas. American College of Obstetricians and Gynecologists.
2. Society of Interventional Radiology. Uterine Artery Embolization for Symptomatic Uterine Fibroids: Practice Guideline.
3. Stewart EA. Uterine fibroids. Lancet. 2017;389(10085):293-299.
4. WHO. Sexual and Reproductive Health: Uterine Fibroids - Epidemiology and Impact.
5. Kohi MP, Spies JB. Updates on Uterine Artery Embolization. Semin Intervent Radiol. 2018;35(1):48-55.
6. Nguyễn Ngọc Cương, cộng sự. Đánh giá tính khả thi và an toàn của nút động mạch tử cung điều trị bệnh lý sản phụ khoa. Tạp chí Nghiên cứu Y học.
| Ths. Bs Lê Xuân Chính Phó trưởng khoa Chẩn đoán hình ảnh và thăm dò chức năng |
- Nút mạch điều trị u xơ tử cung– Giải pháp điều trị xâm lấn tối thiểu bảo tồn tử cung
- Dinh dưỡng cho bệnh nhân ung thư
- Osimertinib - Lựa chọn điều trị bổ trợ sau hóa xạ trị đồng thời trong ung thư phổi có đột biến Egfr
- Nội soi phế quản ống mềm gây mê giải pháp tiên tiến trong chẩn đoán và điều trị bệnh lý hô hấp tại Bệnh viện Ung bướu tỉnh Thanh Hóa
- Những ưu điểm của phẫu thuật nội soi tuyến giáp đường miệng
- Hành trình giảm đau – Nâng niu từng nhịp sống của người bệnh ung thư
- Nút mạch chọn lọc điều trị u máu gan dưới hướng dẫn chụp mạch số hóa xóa nền (DSA) tại Bệnh viện Ung bướu tỉnh Thanh Hóa
- “Bilan viêm” và vai trò của xét nghiệm Procalcitonin (pct) trong chẩn đoán nhiễm trùng sớm
- Một số khái niệm dược động học, dược lực học kháng sinh và ứng dụng trong thực hành điều trị nhiễm khuẩn
- Dinh dưỡng cho bệnh nhân ung thư giai đoạn muộn
Tin tức mới nhất
Các ngày trong tuần từ Thứ 2 đến Chủ nhật
Mùa đông: 7:15 - 11:30 | 13:15 - 17:00
Mùa hè: 7:00 - 11:30 | 13:30 - 17:00
Trực cấp cứu: 24/24
