Nút mạch chọn lọc điều trị u máu gan dưới hướng dẫn chụp mạch số hóa xóa nền (DSA) tại Bệnh viện Ung bướu tỉnh Thanh Hóa
1. Định nghĩa
U máu gan (hepatic hemangioma) là khối u lành tính thường gặp nhất ở gan, bản chất gồm các khoang chứa đầy máu được bọc bởi một lớp tế bào nội mô và được cấp máu bởi các nhánh động mạch 1.
Phần lớn u máu gan không gây triệu chứng, được phát hiện tình cờ thông qua chẩn đoán hình ảnh. Theo các hướng dẫn và tài liệu chuyên ngành, đa số trường hợp u máu gan không cần điều trị, chỉ theo dõi khi có chỉ định phù hợp 2.
2. Dịch tễ học
Tỷ lệ mắc u máu gan dao động từ 4-20%. Nghiên cứu xác định tỉ lệ u máu gan cao nhất được thực hiện trên xác. Hầu hết các trường hợp u máu gan được phát hiện ở nhóm 30-50 tuổi và tỷ lệ nữ:nam là 5:1. Đối tượng trẻ em cũng là nhóm u máu có triệu chứng kèm theo hay gặp nhất 1.
![]()
Hình 1: Ekip đang thực hiện nút mạch điều trị u máu gan dưới DSA tại Bệnh viện Ung bướu tỉnh Thanh Hóa
3. Triệu chứng lâm sàng và cận lâm sàng
* Triệu chứng lâm sàng
- Đa số không có triệu chứng.
- Các u có kích thước nhỏ thường hiếm khi gây triệu chứng, thường chỉ những khối u kích thước lớn trên 4cm mới gây ra triệu chứng, biến chứng. Khi có triệu chứng, thường gặp: đau tức vùng hạ sườn phải/thượng vị, cảm giác đầy bụng, chướng bụng, ăn nhanh no; đôi khi buồn nôn.
- Trường hợp u có kích thước lớn hay u máu gan khổng lồ (Giant hepatic hemagioma) có thể gây các triệu chứng chèn ép như : biến dạng bụng, chèn ép dạ dày, tá tràng gây đau tức thượng vị, hạ sườn phải.
- Rất hiếm gặp trường hợp u vỡ gây triệu chứng chảy máu trong ổ bụng, có thể vỡ do tự phát, sau chấn thương hay sau thủ thuật sinh thiết gan hoặc rối loạn đông máu kiểu Kasabach-Merritt (tiêu thụ tiểu cầu/yếu tố đông máu) trong u rất lớn 3
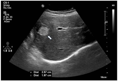
- Siêu âm: thường là khối tăng âm tương đối đồng nhất, bờ rõ (có thể thay đổi ở u không điển hình).
- CT Scanner có tiêm thuốc cản quang: hình ảnh kinh điển là ngấm thuốc cản quang dạng chấm nốt ngoại vi ở thì động mạch và ngấm dần hướng tâm ở thì tĩnh mạch và thì muộn 4.
- MRI có tiêm thuốc đối quang từ: thường giảm tín hiệu T1, tăng tín hiệu mạnh trên T2, kèm ngấm thuốc điển hình tương tự CT; MRI là phương tiện rất có giá trị để khẳng định chẩn đoán trong nhiều tình huống.
Lưu ý: một số u máu gan có thể có hình thái không điển hình, khi đó bác sĩ sẽ cân nhắc chụp thêm, hoặc phối hợp phương tiện để chẩn đoán chính xác.
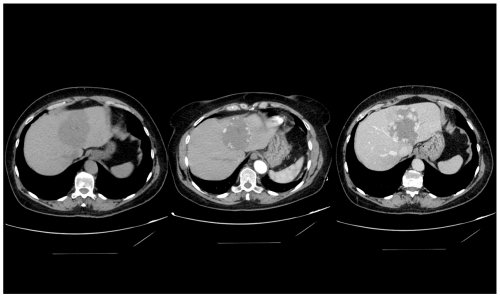
Hình 3. Hình ảnh u máu gan trái trên chụp cắt lớp vi tính
* Xét nghiệm
Thường không đặc hiệu và có thể bình thường. Men gan có thể thay đổi nhẹ nếu u lớn/chèn ép hoặc sau can thiệp.
4. Điều trị:
Phần lớn u máu gan không cần điều trị, ưu tiên theo dõi và kiểm soát triệu chứng. Chỉ can thiệp khi có chỉ định rõ ràng, ví dụ: đau dai dẳng ảnh hưởng sinh hoạt, u tăng kích thước nhanh, chèn ép, biến chứng, hoặc trường hợp chẩn đoán chưa chắc chắn sau khi đã đánh giá đầy đủ.
Các lựa chọn điều trị có thể gồm:
- Theo dõi định kỳ (phổ biến nhất).
- Điều trị nội khoa giảm triệu chứng (giảm đau, điều chỉnh tiêu hóa ).
- Phẫu thuật (bóc u hoặc cắt gan chọn lọc) khi triệu chứng nặng, u lớn/chèn ép, hoặc biến chứng.
- Đốt sóng cao tần (RFA)/MWA: có thể được cân nhắc ở một số trường hợp chọn lọc (tùy kích thước/vị trí/nguy cơ) 5.
- Nút mạch chọn lọc điều trị u máu gan dưới DSA
5. Nút mạch chọn lọc điều trị u máu gan dưới DSA 6
* Nguyên lý:
Bác sĩ chọc một đường vào mạch máu (thường động mạch đùi hoặc quay), đưa ống thông catheter.micro catheter đến động mạch gan/nhánh nuôi u dưới máy chụp mạch số hóa xóa nền (DSA), sau đó dùng các chất làm tắc mạch các nhánh cấp máu cho khối u gan, giúp u gan hoại tử và cải thiện triệu chứng. Chỉ định nút mạch u máu gan hiện nay đã rộng rãi hơn, cho phép điều trị u máu gan hiệu quả và xâm lấn tối thiểu, tránh biến chứng phức tạp sau mổ.
* Chỉ định thường gặp:
- U máu gan có đường kính > 4cm;
- U máu gan tăng kích thước, hoặc có triệu chứng bất kể kích thước của nó;
- U máu gan vỡ;
- U máu gan chèn ép các cơ quan xung quanh hoặc các mạch máu gan và ống mật.
- U máu nằm gần mạch lớn dưới bao hoặc có khả năng chảy máu;
- Rủi ro phẫu thuật cao hoặc người bệnh không phù hợp phẫu thuật.
* Chống chỉ định:
- Nhiễm trùng đang tiến triển, rối loạn đông máu nặng chưa kiểm soát.
- Suy gan nặng mất bù, suy thận nặng không phù hợp dùng thuốc cản quang.
- Dị ứng nặng với thuốc cản quang chưa có phương án dự phòng phù hợp.
* Ưu điểm
- Ít xâm lấn, không cần mổ lớn; thời gian hồi phục thường nhanh.
- Can thiệp chọn lọc vào nhánh nuôi u, giảm ảnh hưởng mô gan lành.
- Có thể giúp giảm triệu chứng và/hoặc giảm kích thước u ở nhóm người bệnh được lựa chọn phù hợp.
* Hạn chế
- Không phải trường hợp nào cũng cần hoặc phù hợp; đôi khi hiệu quả giảm kích thước/triệu chứng không đồng nhất giữa các nghiên cứu
![]()
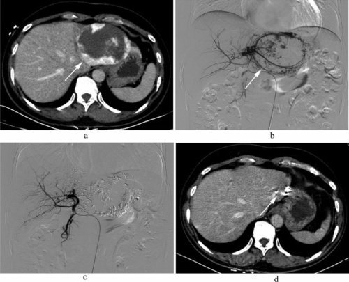
Hình 4. Hình ảnh u máu gan trái trên DSA (b,c) và cắt lớp vi tính trước - sau điều trị (a,d)
* Tai biến - biến chứng
- U máu gan là u lành tính, tiên lượng nhìn chung tốt. Với can thiệp nút mạch, các phản ứng thường gặp là hội chứng sau nút mạch: đau vùng gan, sốt nhẹ, mệt, buồn nôn, men gan tăng thoáng qua,... đa phần cải thiện với điều trị triệu chứng.
- Biến chứng ít gặp: áp-xe gan, nút nhầm mạch ngoài gan, suy gan ở người có nền gan yếu Một số nghiên cứu ghi nhận vẫn có tỷ lệ biến chứng nặng nhất định, do đó chỉ định cần chặt chẽ và thực hiện tại cơ sở có kinh nghiệm.
Nút mạch chọn lọc điều trị u máu gan dưới DSA là một lựa chọn điều trị hiện đại, ít xâm lấn, hữu ích cho nhóm u máu gan có triệu chứng hoặc nguy cơ biến chứng và được hội chẩn phù hợp.
U máu gan là u lành tính và đa số không cần "tiệt căn". Điểm quan trọng là chẩn đoán đúng " phân tầng nguy cơ " tránh can thiệp không cần thiết. Nếu u gây triệu chứng, phát hiện sớm và đánh giá đúng bằng CT/MRI giúp lựa chọn phương pháp tối ưu (theo dõi, can thiệp hay phẫu thuật), giảm nguy cơ biến chứng và tối ưu chi phí điều trị.
Khuyến nghị để phát hiện sớm và tăng hiệu quả điều trị:
- Khám chuyên khoa khi có đau tức hạ sườn phải kéo dài, đầy bụng, căng tức vùng gan, hoặc khó chịu bụng không rõ nguyên nhân.
- Thực hiện siêu âm định kỳ theo khuyến cáo sức khỏe (thường 6-12 tháng/lần tùy nguy cơ); Khi siêu âm phát hiện tổn thương nghi ngờ, bác sĩ có thể chỉ định CT/MRI có tiêm thuốc để khẳng định.
- Bổ sung xét nghiệm máu giúp đánh giá toàn diện gan và phân biệt các bệnh lý kèm theo:
+ Chức năng gan đánh giá khả năng tổng hợp của gan.
+ Tầm soát viêm gan virus, đặc biệt viêm gan B và viêm gan C. Viêm gan B, viêm gan C là nền nguy cơ quan trọng của bệnh gan mạn và u gan ác tính, nên cần phát hiện sớm để quản lý đúng.
+ Chất chỉ điểm u gan: AFP, AFP-L3, PIVKA-II, CA 19-9, CEA. Xét nghiệm có giá trị tầm soát/loại trừ u gan ác tính ở người có nguy cơ hoặc hình ảnh chưa rõ.
Kỹ thuật nút mạch chọn lọc điều trị u máu gan dưới DSA được thực hiện thường quy khoa Chẩn đoán hình ảnh - Thăm dò chức năng, Bệnh viện Ung bướu Thanh Hoá, là phương pháp can thiệp tối thiểu, đồng thời được bảo hiểm y tế chi trả và được thực hiện bởi các bác sĩ có trình độ chuyên môn cao. Kỹ thuật nút mạch chọn lọc điều trị u máu gan dưới DSA tại Bệnh viện Ung bướu Thanh Hoá đã đem lại hiệu quả điều trị tối đa cho người bệnh.
Mọi chi tiết liên hệ:
ĐT: 0237 8888 835
Facebook: Chẩn đoán hình ảnh Ung bướu Thanh Hóa
Email: chandoanhinhanhubth@gmail.com
Tài liệu tham khảo
1. Bajenaru N, Balaban V, Săvulescu F, Campeanu I, Patrascu T. Hepatic hemangioma -review-. J Med Life. 2015;8(Spec Issue):4-11
2. Evans J, Willyard CE, Sabih DE. Cavernous Hepatic Hemangiomas. In: StatPearls. StatPearls Publishing; 2023. Accessed October 20, 2023.
3. Đoàn Ngọc Giao. Nghiên Cứu Chẩn Đoán, Chỉ Định Phẫu Thuật và Kết Quả Điều Trị u Máu Gan ở Người Lớn. Học Viện Quân Y; 2009.
4. Nguyễn Duy Huề (2002) Chụp Cắt Lớp vi Tính Gan và Đường Mật, Chụp Cắt Lớp vi Tính, Tài Liệu Đào Tạo JICA. Tr 123-127.
5. Fan RF, Chai FL, He GX, et al. Laparoscopic radiofrequency ablation of hepatic cavernous hemangioma: A preliminary experience with 27 patients. Surg Endosc. 2006;20(2):281-285.
6. The Effect of Bleomycin Embolization on Symptomatic Improvement and Hemangioma Size among Patients with Giant Liver Hemangiomas. Accessed October 20, 2023.
Ths.Bs Lê Xuân Chính - Khoa CĐHA & TDCN
- Nút mạch chọn lọc điều trị u máu gan dưới hướng dẫn chụp mạch số hóa xóa nền (DSA) tại Bệnh viện Ung bướu tỉnh Thanh Hóa
- “Bilan viêm” và vai trò của xét nghiệm Procalcitonin (pct) trong chẩn đoán nhiễm trùng sớm
- Một số khái niệm dược động học, dược lực học kháng sinh và ứng dụng trong thực hành điều trị nhiễm khuẩn
- Dinh dưỡng cho bệnh nhân ung thư giai đoạn muộn
- Ung thư và đái tháo đường: Gánh nặng kép nhưng hoàn toàn có thể kiểm soát
- Phân tích tình hình sử dụng và tác dụng không mong muốn của Vinorelbine trong hoá trị liệu cho bệnh nhân ung thư tại Bệnh viện Ung bướu tỉnh Thanh Hoá năm 2024
- Bệnh nhân ung thư tuyến giáp nên ăn gì?
- Phẫu thuật thành công khối ung thư khổng lồ vùng mặt cho cụ bà 99 tuổi tại Bệnh viện Ung bướu Thanh Hóa
- Xét nghiệm nuôi cấy – kháng sinh đồ xác định độ nhạy cảm của vi khuẩn/ vi nấm với thuốc
- Dự phòng thuyên tắc huyết khối tĩnh mạch ở bệnh nhân điều trị nội khoa ung thư
Tin tức mới nhất
Các ngày trong tuần từ Thứ 2 đến Chủ nhật
Mùa đông: 7:15 - 11:30 | 13:15 - 17:00
Mùa hè: 7:00 - 11:30 | 13:30 - 17:00
Trực cấp cứu: 24/24
