Giảm đau sau phẫu thuật Patey vú hành trang cho hồi phục toàn diện
Phẫu thuật Patey, một kỹ thuật cắt bỏ tuyến vú và nạo hạch nách, là một trong những phương pháp quan trọng trong điều trị ung thư vú. Tuy nhiên, do tính chất phức tạp của phẫu thuật, bệnh nhân thường trải qua cơn đau đáng kể sau mổ, ảnh hưởng đến cả thể chất lẫn tinh thần. Việc kiểm soát đau hiệu quả không chỉ giúp bệnh nhân cảm thấy thoải mái hơn mà còn thúc đẩy quá trình hồi phục, cải thiện chất lượng cuộc sống. Trong bài viết này, chúng ta sẽ khám phá các phương pháp giảm đau sau phẫu thuật Patey, với trọng tâm là kỹ thuật phong bế mặt phẳng cơ dựng sống (ESP) - một bước tiến hiện đại trong kiểm soát đau.
Hiểu Biết Về Đau Sau Phẫu Thuật Patey
Phẫu thuật Patey thường gây đau ở vùng ngực, vai, cánh tay và thậm chí lan xuống lưng do cắt bỏ mô vú, cơ ngực, và hạch bạch huyết ở nách. Đau có thể xuất hiện dưới dạng đau cấp tính ngay sau mổ hoặc, trong một số trường hợp, chuyển thành đau mãn tính nếu không được xử lý kịp thời. Các nguyên nhân chính bao gồm:
- Viêm và tổn thương mô: Cắt bỏ mô và hạch gây kích ứng tại chỗ, dẫn đến sưng và đau.
- Tổn thương thần kinh: Các dây thần kinh liên sườn hoặc thần kinh ngực có thể bị ảnh hưởng trong quá trình phẫu thuật.
- Co cứng cơ: Tư thế phẫu thuật hoặc hạn chế vận động sau mổ có thể gây căng cơ ở vùng vai và lưng.
Đối với bệnh nhân, cơn đau không chỉ là vấn đề thể chất mà còn ảnh hưởng đến tâm lý, gây lo âu, mất ngủ, và làm chậm quá trình phục hồi. Vì vậy, việc kiểm soát đau hiệu quả là một phần không thể thiếu trong chăm sóc sau phẫu thuật Patey.
Các Phương Pháp Giảm Đau Truyền Thống
1. Sử Dụng Thuốc Giảm Đau:
- Thuốc không opioid: Paracetamol và thuốc chống viêm không steroid (NSAIDs) như ibuprofen được sử dụng cho đau nhẹ đến trung bình. Chúng an toàn, ít tác dụng phụ và phù hợp với hầu hết bệnh nhân.
- Opioid: Trong trường hợp đau nặng, các thuốc như morphine hoặc fentanyl có thể được dùng trong giai đoạn đầu sau mổ. Tuy nhiên, opioid cần được kê đơn cẩn thận do nguy cơ gây nghiện hoặc tác dụng phụ như buồn nôn, táo bón.
- Kết hợp đa phương thức: Theo khuyến nghị của Tổ chức Y tế Thế giới (WHO), việc sử dụng thuốc theo bậc thang giảm đau, kết hợp không opioid và opioid (nếu cần), giúp tối ưu hóa hiệu quả và giảm liều lượng opioid.
2. Kỹ Thuật Gây Tê Vùng:
- Gây tê thần kinh liên sườn hoặc phong bế thần kinh ngực là các phương pháp phổ biến, giúp giảm đau cục bộ tại vùng phẫu thuật. Những kỹ thuật này thường được thực hiện ngay sau mổ để kiểm soát đau trong 24-48 giờ đầu.
- Một số trường hợp sử dụng ống dẫn lưu gây tê liên tục (catheter) để duy trì hiệu quả giảm đau trong vài ngày.
3. Hỗ Trợ Không Dùng Thuốc:
- Vật lý trị liệu: Các bài tập vận động nhẹ nhàng giúp cải thiện lưu thông máu, giảm co cứng cơ và tăng phạm vi chuyển động của vai và cánh tay. Ví dụ, các bài tập giãn cơ hoặc nâng tay nhẹ có thể được hướng dẫn bởi chuyên viên vật lý trị liệu.
- Hỗ trợ tâm lý: Kỹ thuật thư giãn, thiền hoặc tư vấn tâm lý giúp bệnh nhân giảm căng thẳng, từ đó làm dịu cảm giác đau.
- Chườm lạnh/ấm: Chườm lạnh trong 48 giờ đầu giúp giảm sưng và viêm, trong khi chườm ấm sau đó có thể làm dịu cơ bắp và cải thiện lưu thông.
Kỹ Thuật Phong Bế Mặt Phẳng Cơ Dựng Sống (ESP): Bước Tiến Mới Trong Giảm Đau
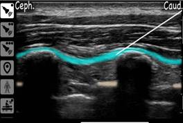
Trong những năm gần đây, phong bế mặt phẳng cơ dựng sống (Erector Spinae Plane - ESP) đã trở thành một kỹ thuật tiên tiến, mang lại hiệu quả vượt trội trong kiểm soát đau sau phẫu thuật Patey. Đây là một phương pháp gây tê vùng, trong đó thuốc tê được tiêm vào mặt phẳng giữa cơ dựng sống (erector spinae) và mỏm ngang của cột sống, thường ở vị trí T4-T5 (tương ứng vùng ngực).
Cách thức hoạt động của ESP:
- Thuốc tê được tiêm dưới hướng dẫn của siêu âm, đảm bảo độ chính xác cao. Thuốc lan tỏa dọc theo mặt phẳng cơ dựng sống, phong bế các nhánh thần kinh lưng và liên sườn, giúp giảm đau ở cả vùng ngực trước và sau.
- Kỹ thuật này có thể được thực hiện như một lần tiêm duy nhất hoặc thông qua ống dẫn lưu để duy trì hiệu quả giảm đau liên tục trong 48-72 giờ.
Lợi ích của ESP:
- Hiệu quả cao: ESP kiểm soát đau tốt ở cả vùng ngực và nách, vốn là khu vực chịu ảnh hưởng lớn trong phẫu thuật Patey.
- Giảm phụ thuộc opioid: Nhờ hiệu quả giảm đau mạnh mẽ, bệnh nhân có thể sử dụng ít opioid hơn, giảm nguy cơ tác dụng phụ.
- An toàn và ít xâm lấn: So với gây tê ngoài màng cứng hoặc gây tê cạnh cột sống, ESP ít rủi ro hơn do vị trí tiêm nằm xa tủy sống.
- Hỗ trợ hồi phục nhanh: Giảm đau hiệu quả giúp bệnh nhân sớm vận động, tham gia vật lý trị liệu, từ đó rút ngắn thời gian nằm viện.
Lời Khuyên Cho Bệnh Nhân và Đồng Nghiệp
Dành cho bệnh nhân: Đừng ngần ngại chia sẻ với bác sĩ về mức độ đau hoặc bất kỳ lo lắng nào. Hiểu rõ về các phương pháp giảm đau, như ESP sẽ giúp bạn tự tin hơn trong quá trình hồi phục. Hãy tuân thủ hướng dẫn vận động và dùng thuốc đúng cách để đạt hiệu quả tốt nhất.
Dành cho đồng nghiệp y khoa: Việc cá nhân hóa phác đồ giảm đau là rất quan trọng. Kết hợp ESP với các phương pháp khác (thuốc, vật lý trị liệu) có thể mang lại kết quả tối ưu. Ngoài ra, cần giáo dục bệnh nhân về các dấu hiệu bất thường, như đau tăng dần, sưng đỏ, hoặc khó thở, để can thiệp kịp thời.
Kết Luận
Giảm đau sau phẫu thuật Patey vú không chỉ là một nhiệm vụ y khoa mà còn là hành trình chăm sóc toàn diện, giúp bệnh nhân vượt qua khó khăn và trở lại cuộc sống bình thường. Với các phương pháp truyền thống như thuốc giảm đau, gây tê vùng, và các kỹ thuật tiên tiến như phong bế mặt phẳng cơ dựng sống, chúng ta có thể mang lại sự thoải mái và hy vọng cho bệnh nhân. Hãy cùng phối hợp chặt chẽ giữa bác sĩ, nhân viên y tế và bệnh nhân để xây dựng một kế hoạch giảm đau hiệu quả, vì sức khỏe và nụ cười của họ!
Một số hình ảnh về phương pháp ESP Giảm đau sau mổ Patey vú được triển khai tại bệnh viện Ung bướu Thanh hóa.
Hình 1: Vị trí tiêm phong bế ESP
Hình 2: Bác sĩ thực hiện ESP dưới hướng dẫn siêu âm
Hình 3: Một số hình ảnh bệnh nhân sau mổ patey vú sử dụng ESP
Bs CK1. Lê Đức Minh - Khoa PT - GMHS
- Giảm đau sau phẫu thuật Patey vú hành trang cho hồi phục toàn diện
- Hội thảo khoa học “Điều trị Ung thư tuyến tiền liệt tại Bệnh viện Ung bướu tỉnh Thanh Hóa từ chẩn đoán đến điều trị” kết hợp chuyển giao kỹ thuật “Sinh thiết tuyến tiền liệt”
- Phẫu thuật nội soi hoàn toàn cắt đoạn dạ dày do ung thư, nạo vét hạch D2 thường quy tại Bệnh viện Ung bướu Thanh Hóa (Laparoscopic surgery completely removes the stomach and removes D2 lymph nodes).
Tin tức mới nhất
Các ngày trong tuần từ Thứ 2 đến Chủ nhật
Mùa đông: 7:15 - 11:30 | 13:15 - 17:00
Mùa hè: 7:00 - 11:30 | 13:30 - 17:00
Trực cấp cứu: 24/24